クリニック紹介 初めての方へ コラム一覧 お知らせ一覧 採用について 会社概要

COLUMN

コラム一覧

COLUMN

口腔外科、歯根嚢胞について

今回は歯根嚢胞についてお話します。 この写真の方は左上が噛むと痛いとして来院された患者様です。 パノラマでは上顎洞に広がる歯根嚢胞が認められます。 では歯根嚢胞というのはどんなものか説明していきます 概要 病的な袋状のも […]

虫歯の除去について

今回は虫歯の除去について動画をとったので説明していきます。 虫歯の治療は基本的に虫歯が深くなればなるほど大変な処置になります。 虫歯が深いとしっかり取りきるためにマイクロスコープをつかい丁寧に処置しないとうまくいかないこ […]

根分岐部病変のフラップ手術

今回は左下6の根分岐部病変のflap手術という特殊な手術を動画で撮影したのでご紹介します。 下顎の大臼歯は根っこが2つに分かれており、その部分に感染がおこると腫れてきたりすることがあります。 今回はまさにその状態で歯茎を […]

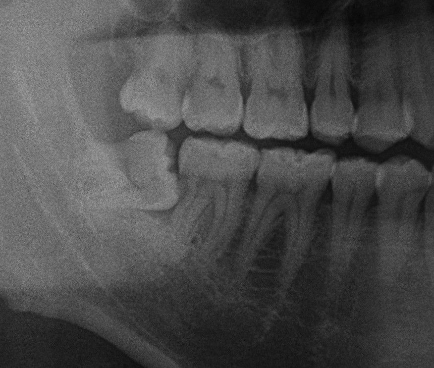
当日すぐの親知らず抜歯

今回は抜歯希望で初めて来院された患者様ですその場で抜歯をしたいとのことで 説明、同意書、CTをとり抜歯しました。 その際右下の真横に生えている親知らずの抜歯について動画を撮ったのでHPに投稿してみました。 基本的に親知ら […]

歯が折れると

歯って折れたりすることあるの? 歯は折れたりすることあります。折れるとグラグラしてきて腫れたり・違和感がでたり、いろいろな症状がでてきます。 特に神経を取って、被せ物をしていない歯は特に割れやすく、今回動画で撮影した歯の […]

虫歯の処置である【CR】

虫歯の治療ってどんなことしてるのか気になりませんか? 今回は簡単な前歯の虫歯の処置である【CR】と呼ばれる処置について動画を撮影しました。 この治療は一日で治すことができて、とても簡単な処置で日頃から歯医者さんでは定番な […]

入れ歯の種類

入れ歯っていろんな種類があるのご存じですか? ①歯の本数 まずは歯がない本数によって『部分入れ歯』と『総入れ歯』に分けられます。 部分入れ歯はその名前のとうり残った歯にばねをかけてはめ込むタイプの入れ歯です。 総入れ歯も […]

歯の根の治療の動画

歯の根っこの治療ってなにしてるのか?あんまりわからないですよね 患者さんは特に自分の口の中なんてほんとにわからないと思います。 なので今回は歯の根っこの治療をどのように行っているのか?を動画で撮影してみたのでそれぞれ解説 […]

ホワイトニングの種類と方法

今回はホワイトニングの種類と方法についておはなしします。 ホワイトニングはこんな方にぜひしてほしいです。 ・人前に出ることが多い方 ・コーヒーや赤ワインが好きな方 ・営業の仕事で印象を良くしたい方 ・若々しく美しい口元に […]

虫歯になりやすい食べ物ランキング

虫歯になりやすい食べ物ランキングってしってますか? アメリカの歯科の研究者のBibbyが考えた潜在脱灰能という数字です! 食物停滞量✖️酸酸性能=潜在脱灰能 というものでこの数字が高ければ高いほど虫歯になりやすい食べ物と […]

faq

よくあるご質問

Q.親知らずの抜歯は可能ですか?
A.可能です。
3Dで画像が見えるCTも完備しているので、大学病院レベルの抜歯も可能です。
Q.親知らずは即日抜歯できますか?
A.可能です。
ほぼ当日に抜歯することは可能ですが、腫れや痛みがある場合、抜歯時や抜歯後の痛みが強く出る可能性があるので、
その場合、当日は投薬のみ。
投薬後の痛みや腫れをおさめてから抜歯していく場合もあります。

また、かなり難易度が高いと判断した抜歯についてはしっかりお時間を取らせてもらうので、後日になる可能性があります。

まずは一度ご予約をお取りください。
Q.電子マネーは使えますか?
A.カード、デンタルローン、現金のみ取り扱っております。
Q.なるべくまとめて治療することは可能ですか?
A.可能です。
なるべく患者さんの意に沿った形でまとめて治療はしていきたいですが、医学的知見から、どうしても経過を見せてもらった上で処置をする方がいい場合もあるので、
まずはご相談ください。
Q.感染症対策はしていますか?
A.歯を削る機械、口腔内をみる鏡など、ディスポータブルにできるものはなるべくしております。
どうしてもできないものは、高圧蒸気滅菌にて確実に滅菌を行なっておりますのでご安心ください。
Q.初診の金額はいくらぐらいですか?
A.保険診療の範囲になり処置内容によって変わりますが3割負担でおよそ3,000円から4,000円ぐらいになります。もしそれに応急処置を行うとかになるともう少し費用が掛かる場合があります。
Q.初診から治療は可能でしょうか?
A.可能です。処置内容を説明したうえでご納得いただけるようであれば出来うる処置は行います。
Q.予約なしでも診てもらえますか?
A.診療時間内にご来院頂けた場合は診察することは可能ですが予約の患者さんが優先になってしまうので少しお待たせする形になってしまいますのでご容赦ください。
Q.保険証がなくても診察してもらえますか?
A.自費になりますが可能です。もし保険証を当月中に持ってきてもらえるようであれば保険診療に切り替えられるので差額を返金する形になります。

RECRUIT

採用情報

マンツーマン指導で確かな技術の習得が出来る。

患者様満足度調査にご協力下さい。

少しでも患者様にとってより良い歯科医療を提供するため、 第三者機関に依頼して患者様満足度調査を行っています。
率直なご意見をいただき、改善すべき点は真摯に受け止めていきたいと思っております。
当院には患者様の個人情報は一切伝えられませんので、是非、暖かいお言葉、おしかりのお言葉、たくさんお寄せ下さい。

CLINIC INFORMATION

恵比寿駅東口医院
住所 東京都渋谷区恵比寿1丁目11−2
旭日ビル 3階
TEL 03-6455-7920
営業時間 10:00am ~ 7:00pm
休診 年末年始
12/29〜1/3のみ
目黒駅医院
住所 東京都品川区上大崎3−1−1 
アトレ目黒2・2F
TEL 03-6417-0506
営業時間 10:00am ~ 7:00pm
休診 年末年始
12/29〜1/3のみ
川崎駅小川町医院
住所 神奈川県川崎市川崎区小川町2-7
アイヴィ・タワー7階
TEL 044-742-8333
営業時間 10:00am ~ 7:00pm
休診 年末年始
12/29〜1/3のみ
AIARE DENTAL CLINIC
AIARE DENTAL CLINIC
AIARE DENTAL CLINIC