コラム
今回は歯の移植を希望されて来院された患者さんがいたので【歯牙移植術】について書いてみようと思います。
むし歯や歯周病などで失ったところに、違う歯(主に親知らず)を移し入れる方法をいいます。
どちらもインプラントや義歯とは異なり、自分の歯ですから、生体に対して優しく、歯の機能を生かした方法で、条件が合えばとても有効な方法です。
ただし、再植も移植も歯の条件が制限されますので、すべてのケースがうまくいくとは限りません。
移植歯の生存率(寿命)は約5〜10年といわれています。うまくいった長期症例もありますが一般的には一生もつものではありません。
保険でできる条件は、移植できる歯が「親知らず」か「埋伏歯」と決まっており、移植する場所に歯がまだ残っていることが条件となっています。 すでに抜かれてしまって、もともと歯がない場合は、保険外となります。 このように日本国内の保険治療において「歯の移植」は制限があり、ハードルが高いものとなっているのが現状です。
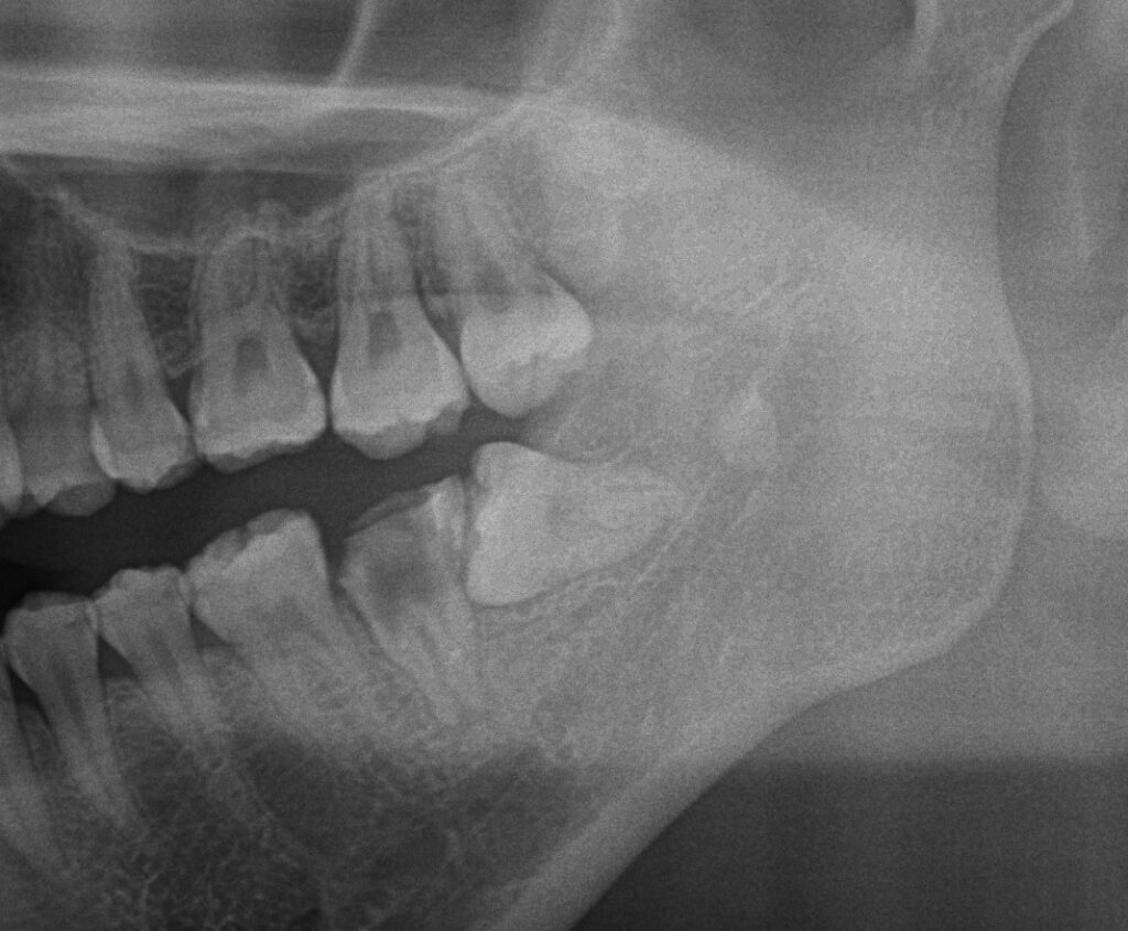
また当法人で移植した術前と術後のレントゲン写真をみながら解説していこうかなと思います。

このレントゲンは術前のレントゲンで左下7番目の歯がボロボロで保存不可能なため抜歯をして左上8を左下7の部位に移植する計画を立てました。

歯牙移植術の術後のレントゲン写真です。

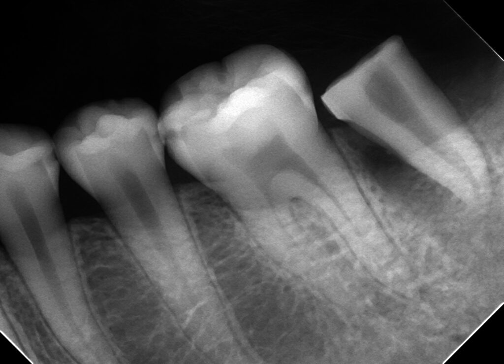
移植直後の拡大した写真です
それぞれ経過を見てみないとなんとも言えないですが経過はまたこのブログで解説していく予定です。
もし歯が残せないと他院で言われて悩んでいるかたがいたらぜひあいあーる歯科にご相談ください。
採用情報
マンツーマン指導で確かな技術の習得が出来る。
CLINIC INFORMATION
| 住所 | 東京都渋谷区恵比寿1丁目11−2 旭日ビル 3階 |
| TEL | 03-6455-7920 |
| 営業時間 | 10:00am ~ 7:00pm |
| 休診 | 年末年始 12/29〜1/3のみ |