クリニック紹介 初めての方へ コラム一覧 お知らせ一覧 採用について 会社概要

COLUMN

コラム一覧

COLUMN

歯牙移植ってどうなの?

歯牙移植またやってみました! これは右下6が歯根破折して他院で抜歯といわれインプラントを勧められた症例です。 当院の診断でも抜歯後インプラントが一番ベターな方法だと思い、説明させていただきましたが やはり費用、自分の歯で […]

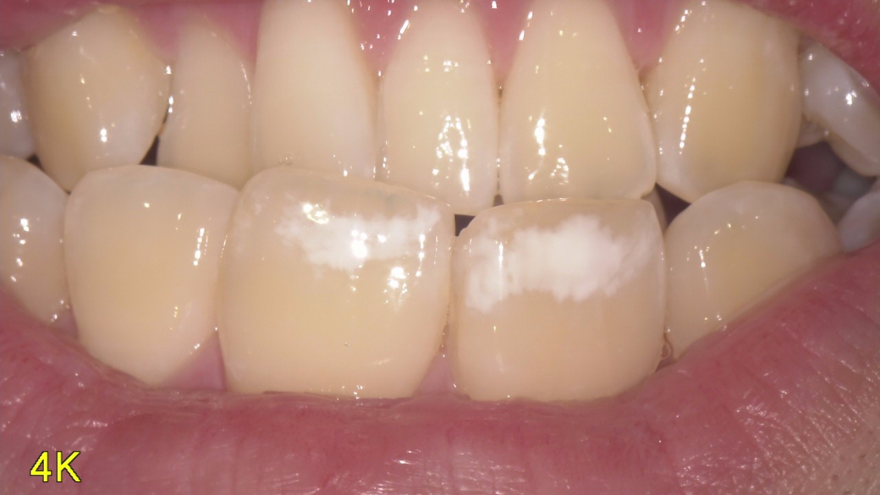
歯が白く変色している!?

歯に白く変わってるの気にしてませんか? 最近の症例をご紹介いたします! これは「ホワイトスポット」という病変です。歯が作られる過程で変色してしまった状態です。 昔はこれが気になる場合は削って詰めたりかぶせたりして色を合わ […]

歯の根っこの治療

今回は根っこの治療の第一段階の土台の除去をしていこうと思います 5年前に根っこの治療をしてそのあとから腫れだしてしまって放置していたらだんだん膿が出てくるようになってしまった患者さんです 前の歯医者さんで口腔外科に行って […]

前歯の歯根嚢胞の経過(口腔外科)

今回は前歯の歯根嚢胞の経過をおったレントゲンをとってみました。 初診時に前歯が折れたということで来院された患者様です。レントゲンを撮影してみると根っこの先に歯根嚢胞というおおおきな病巣が認めれたため歯の保存は困難と判断し […]

睡眠時無呼吸症候群とは?

睡眠時無呼吸低呼吸症候群とは 睡眠中に呼吸障害を起こす病気の一つです。 睡眠中に何らかの原因で気道が閉じたり、狭くなって呼吸が止まる(無呼吸)、弱くなる、いびきをかく(低呼吸)、などの症状が発現し、苦しくなって起きること […]

親知らず抜歯について

親知らずの抜歯怖いという方多いと思います。 今回は親知らずの抜歯を動画にとったので投稿してみました。 根っこが曲がっていたり骨とくっついていたりするとなかなか普通の歯医者さんでは対応が難しかったりします。 当法人では各医 […]

歯のブラッシングについて

ブラッシングってすごく大事なのしってますか? 歯のブラッシングでも種類がすごくあります。 ブラッシングの種類 ・スクラッピング法 毛先を直角(90°)に当て、1・2本10回を目安にして磨く。 ・ローリング法 毛先を歯の根 […]

歯の汚れ・ヤニトリについて

歯の汚れって色々ありますよね 今回は着色をとる方法についていろいろお話していきます。 着色といってもたばこのヤニだったり、紅茶、カレーなど色素が濃いものによって歯に着色がつくことがあるります。 今回あげた写真は「エアフロ […]

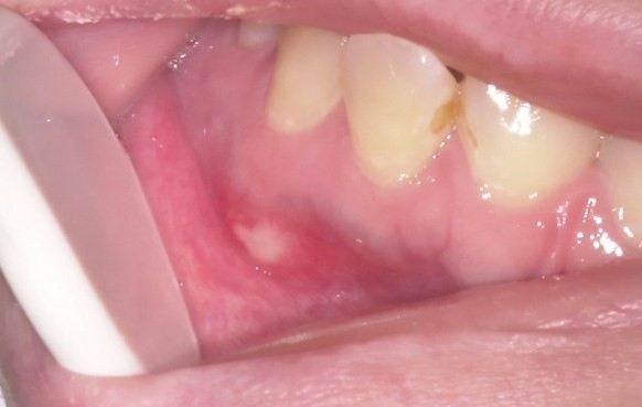
口内炎の治療するなら

口内炎みんななることおおいですよね。意外に治りが悪くてきなってしまうことが多いと思います。 そんなときどうするか?それを今日は解説していこうかなと思っています。 口内炎できたらまずは触らない!それにかぎります。 かさぶた […]

小児矯正するなら

歯列矯正の種類は基本的には「Ⅰ期治療」と「Ⅱ期治療」の2段階に分けて治療をおこないます。 乳歯と永久歯が混在している時期に開始する治療をⅠ期治療、永久歯が生え揃ってから開始する治療をⅡ期治療といいます。 ⑴Ⅰ期治療目的 […]

faq

よくあるご質問

Q.親知らずの抜歯は可能ですか?
A.可能です。
3Dで画像が見えるCTも完備しているので、大学病院レベルの抜歯も可能です。
Q.親知らずは即日抜歯できますか?
A.可能です。
ほぼ当日に抜歯することは可能ですが、腫れや痛みがある場合、抜歯時や抜歯後の痛みが強く出る可能性があるので、
その場合、当日は投薬のみ。
投薬後の痛みや腫れをおさめてから抜歯していく場合もあります。

また、かなり難易度が高いと判断した抜歯についてはしっかりお時間を取らせてもらうので、後日になる可能性があります。

まずは一度ご予約をお取りください。
Q.電子マネーは使えますか?
A.カード、デンタルローン、現金のみ取り扱っております。
Q.なるべくまとめて治療することは可能ですか?
A.可能です。
なるべく患者さんの意に沿った形でまとめて治療はしていきたいですが、医学的知見から、どうしても経過を見せてもらった上で処置をする方がいい場合もあるので、
まずはご相談ください。
Q.感染症対策はしていますか?
A.歯を削る機械、口腔内をみる鏡など、ディスポータブルにできるものはなるべくしております。
どうしてもできないものは、高圧蒸気滅菌にて確実に滅菌を行なっておりますのでご安心ください。
Q.初診の金額はいくらぐらいですか?
A.保険診療の範囲になり処置内容によって変わりますが3割負担でおよそ3,000円から4,000円ぐらいになります。もしそれに応急処置を行うとかになるともう少し費用が掛かる場合があります。
Q.初診から治療は可能でしょうか?
A.可能です。処置内容を説明したうえでご納得いただけるようであれば出来うる処置は行います。
Q.予約なしでも診てもらえますか?
A.診療時間内にご来院頂けた場合は診察することは可能ですが予約の患者さんが優先になってしまうので少しお待たせする形になってしまいますのでご容赦ください。
Q.保険証がなくても診察してもらえますか?
A.自費になりますが可能です。もし保険証を当月中に持ってきてもらえるようであれば保険診療に切り替えられるので差額を返金する形になります。

RECRUIT

採用情報

マンツーマン指導で確かな技術の習得が出来る。

患者様満足度調査にご協力下さい。

少しでも患者様にとってより良い歯科医療を提供するため、 第三者機関に依頼して患者様満足度調査を行っています。
率直なご意見をいただき、改善すべき点は真摯に受け止めていきたいと思っております。
当院には患者様の個人情報は一切伝えられませんので、是非、暖かいお言葉、おしかりのお言葉、たくさんお寄せ下さい。

CLINIC INFORMATION

恵比寿駅東口医院
住所 東京都渋谷区恵比寿1丁目11−2
旭日ビル 3階
TEL 03-6455-7920
営業時間 10:00am ~ 7:00pm
休診 年末年始
12/29〜1/3のみ
目黒駅医院
住所 東京都品川区上大崎3−1−1 
アトレ目黒2・2F
TEL 03-6417-0506
営業時間 10:00am ~ 7:00pm
休診 年末年始
12/29〜1/3のみ
川崎駅小川町医院
住所 神奈川県川崎市川崎区小川町2-7
アイヴィ・タワー7階
TEL 044-742-8333
営業時間 10:00am ~ 7:00pm
休診 年末年始
12/29〜1/3のみ
AIARE DENTAL CLINIC
AIARE DENTAL CLINIC
AIARE DENTAL CLINIC