コラム
今回は歯根嚢胞についてお話します。

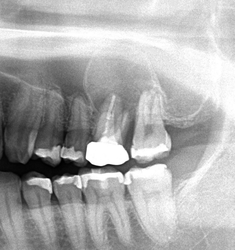
この写真の方は左上が噛むと痛いとして来院された患者様です。
パノラマでは上顎洞に広がる歯根嚢胞が認められます。
では歯根嚢胞というのはどんなものか説明していきます
病的な袋状のものを嚢胞といい、歯根嚢胞は、あごの骨の中に生じる嚢胞の半分以上を占めます。
むし歯(う蝕)が進行すると歯の神経に感染が起こり、それが歯の根の尖端にまで及ぶと歯の根の周囲に炎症が生じます。それが長期慢性化するとにより歯根嚢胞ができます。
小さいものはほとんど無症状です。 咬み合わせた時の痛み、歯肉の腫れ、歯肉にできる小さなできもの(歯肉瘻孔)などが主な症状です。
レントゲン、CT(歯科用)などで歯と周囲の骨の関係を検査します。
大きさにもよりますが基本的に歯の根っこの治療をしたり歯を抜いて外科的にすべて取り除く方法などがあります。部位によっては歯を温存して根っこの先だけ切断していく方法もあります。
この方の場合は歯が歯周病でぐらついているのもあるので、歯を抜歯して外科的にすべて取り除く方法でやっていくことになりました。
今後どうなったかはまた記事を書いていきたいと思っています。
もし歯の根っこの治療や外科的なことで大学に紹介された方で大学病院と時間が合わない方は
ぜひ一度あいあーる歯科にご相談ください。
採用情報
マンツーマン指導で確かな技術の習得が出来る。
CLINIC INFORMATION
| 住所 | 東京都渋谷区恵比寿1丁目11−2 旭日ビル 3階 |
| TEL | 03-6455-7920 |
| 営業時間 | 10:00am ~ 7:00pm |
| 休診 | 年末年始 12/29〜1/3のみ |