クリニック紹介 初めての方へ コラム一覧 お知らせ一覧 採用について 会社概要

COLUMN

コラム一覧

COLUMN

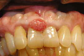
歯肉に限局的にできる腫瘤で『エプーリス』

歯肉に限局的にできる腫瘤で『エプーリス』ってきいたことありますか? エプーリスは歯肉に発生する良性の限局性腫瘍です。エプーリスと癌の違いとしては癌のような悪性腫瘍とは異なり、エプーリスは良性の腫瘤(しゅりゅう)の総称で歯 […]

無切開抜歯について

今回は【無切開抜歯】と呼ばれる方法で抜歯した症例を1例動画で撮影したのでそれを報告していきます。 親知らずの抜歯は通常埋まっている歯なら切開→剥離→抜歯という手順を行っていきますが無駄に切開したり剥離すると術後の経過が悪 […]

唇や舌を切ってしまった場合

こんにちは 皆さん子供のころよく人とぶつかったり転んだりしたことありますか? その際唇や舌を切ってしまって傷になっちゃうことがあります。 そういう時は口腔外科を標ぼうしている歯科医院で一度見てもらうことをお勧めします。 […]

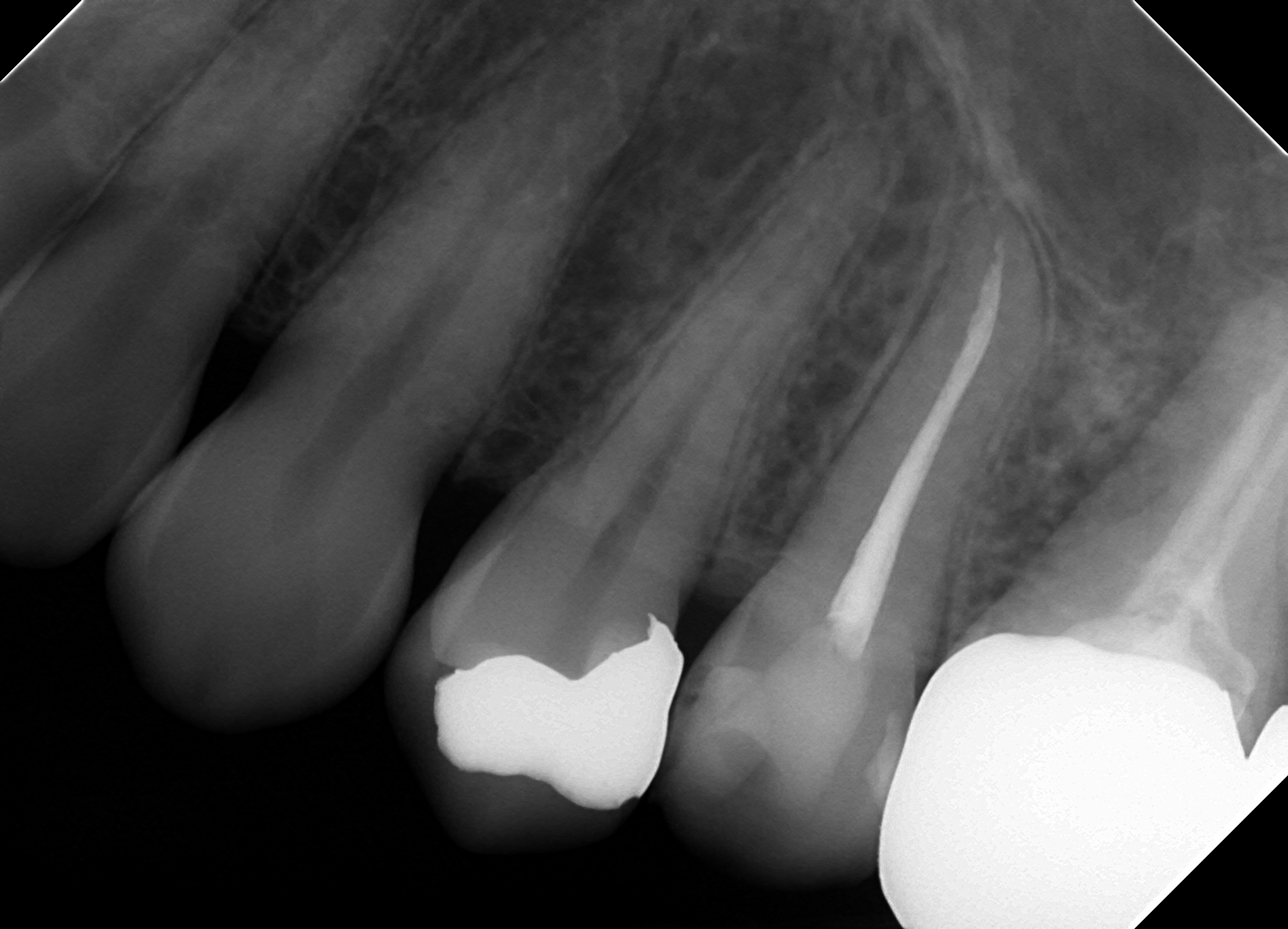
「歯の神経をとる」という行為

今回は虫歯が大きく歯が痛んでしまった人が行う「歯の神経をとる」という行為がどんな手順で行われているかを動画を撮影したので解説しながら説明していきたいと思います。 【~1分まで】 歯の神経の部分まで削っています 【1分~1 […]

顎関節の脱臼

顎関節の脱臼って聞いたことありますか? 顎も関節があるので肩の脱臼のように抜けちゃうことがあります。 脱臼する要因としては過度な開口、脱臼癖がついてしまっているなどあります。 もし脱臼した場合は、最寄りの口腔外科を標ぼう […]

虫歯でぼろぼろになってしまった歯の抜歯

今日は虫歯でぼろぼろになってしまった歯の抜歯の動画です。 抜歯としては簡単な部類でなので1分で処置は終わっていますがそれでもコツみたいなものはあります。 残せる歯はのこすことが大事ですが無理に残すことによって短期的にダメ […]

口内炎や水ぶくれで悩んでいませんか?

「口内炎が治らない」「水ぶくれが口の中に何度もできる」などといった口内炎や水ぶくれで悩んでいませんか? このような症状は「粘液嚢胞(ねんえきのうほう)」の可能性があります。 粘液嚢胞は、自然につぶれて小さくなることもあり […]

親知らずの抜歯をおこなった動画

今回は親知らずの抜歯をおこなった動画を挙げてみました。 麻酔から切開→抜歯→縫合まで3分で終わりました。 抜歯を過度に怖がる必要はありません。 怖いからといってずーと放置しておくほうがあとあとひどい目にあうことがあります […]

口腔内粘膜疾患について

口腔内粘膜疾患とは、口唇、舌、歯肉、口蓋、頬などの粘膜にできる炎症や腫瘤、潰瘍など病気のことです。 粘膜が白色や赤色に変色したり、水ぶくれができたり、表面の凸凹、不整な形、ヒリヒリした痛みがあるなど様々な兆候を示します。 […]

口腔内の清掃の重要性

口腔内の清掃は本当に大事です。 特に喫煙していたりコーヒーなど色が濃い食品を好む方は着色が付きやすくこべりついて不潔感がでるのはよくないと思います。 当院ではエアフローというヤニとりの専門の器具を使用して頑固な汚れもきれ […]

faq

よくあるご質問

Q.親知らずの抜歯は可能ですか?
A.可能です。
3Dで画像が見えるCTも完備しているので、大学病院レベルの抜歯も可能です。
Q.親知らずは即日抜歯できますか?
A.可能です。
ほぼ当日に抜歯することは可能ですが、腫れや痛みがある場合、抜歯時や抜歯後の痛みが強く出る可能性があるので、
その場合、当日は投薬のみ。
投薬後の痛みや腫れをおさめてから抜歯していく場合もあります。

また、かなり難易度が高いと判断した抜歯についてはしっかりお時間を取らせてもらうので、後日になる可能性があります。

まずは一度ご予約をお取りください。
Q.電子マネーは使えますか?
A.カード、デンタルローン、現金のみ取り扱っております。
Q.なるべくまとめて治療することは可能ですか?
A.可能です。
なるべく患者さんの意に沿った形でまとめて治療はしていきたいですが、医学的知見から、どうしても経過を見せてもらった上で処置をする方がいい場合もあるので、
まずはご相談ください。
Q.感染症対策はしていますか?
A.歯を削る機械、口腔内をみる鏡など、ディスポータブルにできるものはなるべくしております。
どうしてもできないものは、高圧蒸気滅菌にて確実に滅菌を行なっておりますのでご安心ください。
Q.初診の金額はいくらぐらいですか?
A.保険診療の範囲になり処置内容によって変わりますが3割負担でおよそ3,000円から4,000円ぐらいになります。もしそれに応急処置を行うとかになるともう少し費用が掛かる場合があります。
Q.初診から治療は可能でしょうか?
A.可能です。処置内容を説明したうえでご納得いただけるようであれば出来うる処置は行います。
Q.予約なしでも診てもらえますか?
A.診療時間内にご来院頂けた場合は診察することは可能ですが予約の患者さんが優先になってしまうので少しお待たせする形になってしまいますのでご容赦ください。
Q.保険証がなくても診察してもらえますか?
A.自費になりますが可能です。もし保険証を当月中に持ってきてもらえるようであれば保険診療に切り替えられるので差額を返金する形になります。

RECRUIT

採用情報

マンツーマン指導で確かな技術の習得が出来る。

患者様満足度調査にご協力下さい。

少しでも患者様にとってより良い歯科医療を提供するため、 第三者機関に依頼して患者様満足度調査を行っています。
率直なご意見をいただき、改善すべき点は真摯に受け止めていきたいと思っております。
当院には患者様の個人情報は一切伝えられませんので、是非、暖かいお言葉、おしかりのお言葉、たくさんお寄せ下さい。

CLINIC INFORMATION

恵比寿駅東口医院
住所 東京都渋谷区恵比寿1丁目11−2
旭日ビル 3階
TEL 03-6455-7920
営業時間 10:00am ~ 7:00pm
休診 年末年始
12/29〜1/3のみ
目黒駅医院
住所 東京都品川区上大崎3−1−1 
アトレ目黒2・2F
TEL 03-6417-0506
営業時間 10:00am ~ 7:00pm
休診 年末年始
12/29〜1/3のみ
川崎駅小川町医院
住所 神奈川県川崎市川崎区小川町2-7
アイヴィ・タワー7階
TEL 044-742-8333
営業時間 10:00am ~ 7:00pm
休診 年末年始
12/29〜1/3のみ
AIARE DENTAL CLINIC
AIARE DENTAL CLINIC
AIARE DENTAL CLINIC