クリニック紹介 初めての方へ コラム一覧 お知らせ一覧 採用について 会社概要

COLUMN

コラム一覧

COLUMN

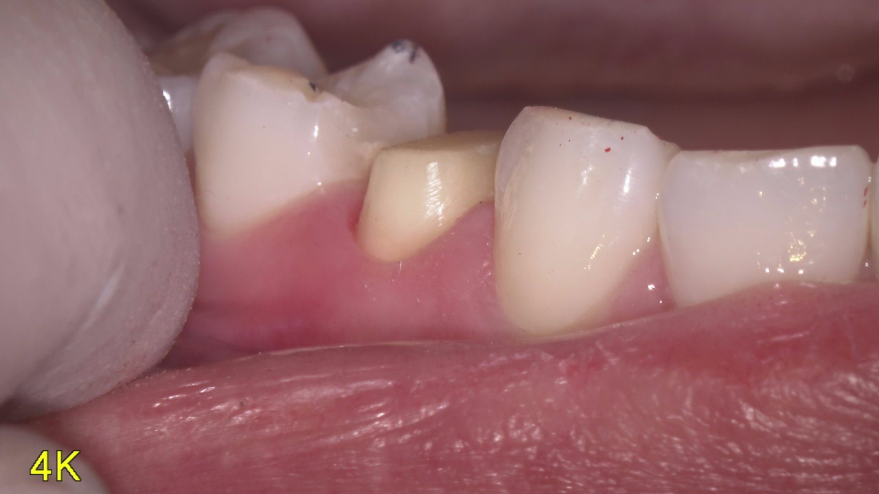
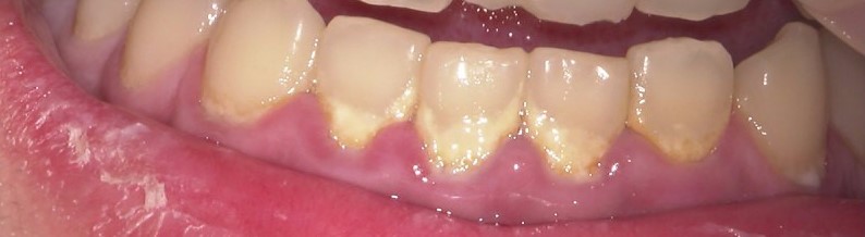
歯石除去はなかなか大変

歯石とは歯石(しせき) プラークが石灰化して硬くなったもの。 歯科医で定期的に除去することが必要。 不十分な歯磨きのため、プラークが長期間、歯の表面についているとき、唾液に含まれるカルシウムやリン酸がプラークに沈着して( […]

マイクロスコープを使用して口腔内を説明

虫歯って患者さん本人には見えない位置にあったりしてなかなわかりにくいですよね そのために当院では口腔内カメラを内蔵したマイクロスコープを使用して口腔内を説明しています。 写真を撮ったり、動画を撮ったりいろいろ使えるので重 […]

舌癌について

舌癌ってどんなものかしってますか? 舌がんとは口の中にできたがんのことを、総じて口腔がんといいますが、舌がんとは一般的に、舌の前方2/3(口を大きく開けたときに見える範囲)に生じたがんのことを指します。 口腔がんの中では […]

お口の中の乾燥

お口の中がすごく乾燥するようになってきた こんな症状当てはまる方いますか? お口の中が乾燥するということは唾液の量が少なくなってることが考えらえれます。 ではそれにはどんな原因があるか確認してみましょう。 ①年齢 基本的 […]

歯ぎしりの特徴とその治療法について

歯ぎしりをしている人の特徴ってあるのしってますか? 歯ぎしりしている人の特徴として ①歯がすり減っている ②骨隆起と呼ばれる骨が出っ張ってるところが このような症状がある人はなるべく早めに歯科医院で一度診察してもらったほ […]

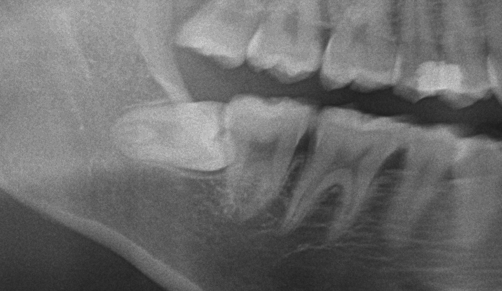
【動画解説】右下親知らずを抜きたい

今回右下親知らずを抜きたいということで来院された患者様です。 動画をとってみたのでどんな感じで親知らずが抜歯されていくのか?を見るいい機会になるのではないかと思いUPしました。 完全に埋まっている親知らずでも抜歯がうまい […]

虫歯の削り方

虫歯ってどう削ってるかイメージつきますか? 削りとる器具としていろいろなものがありますが基本的には回転切削器具といわれている道具で取り切っていきます。 トンネルほったりするのとほぼ同じ機構のものです。 今回は虫歯をとって […]

ボトックスを用いた歯ぎしりの治療

歯ぎしりって皆さんしますか? 現在歯ぎしりの保険での治療は基本的にマウスピースを作成して夜間に使ってもらうことが歯ぎしりの予防法、治療法になります。 ただし夜間に使用するので使いにくく途中ではめるのをやめてしまう人が多い […]

セラミックの特徴について

セラミックってどんな素材かしってますか?セラミックは日常でもよく使われているものでお茶碗やつぼなどに使用されているとても艶めかしいきれいな素材のことです ただしどんないいものでもメリットとデメリットがあるので今回はそれを […]

虫歯ができやすい箇所

カリエスの好発部位に裂溝部分があります。 これは歯の溝の部分に磨き残しがありそこが虫歯ができやすい部分になります。今回は拡大鏡をつかってその虫歯の部分をきれいになおした動画を作ったのでよかったらみてください。 簡単な虫歯 […]

faq

よくあるご質問

Q.親知らずの抜歯は可能ですか?
A.可能です。
3Dで画像が見えるCTも完備しているので、大学病院レベルの抜歯も可能です。
Q.親知らずは即日抜歯できますか?
A.可能です。
ほぼ当日に抜歯することは可能ですが、腫れや痛みがある場合、抜歯時や抜歯後の痛みが強く出る可能性があるので、
その場合、当日は投薬のみ。
投薬後の痛みや腫れをおさめてから抜歯していく場合もあります。

また、かなり難易度が高いと判断した抜歯についてはしっかりお時間を取らせてもらうので、後日になる可能性があります。

まずは一度ご予約をお取りください。
Q.電子マネーは使えますか?
A.カード、デンタルローン、現金のみ取り扱っております。
Q.なるべくまとめて治療することは可能ですか?
A.可能です。
なるべく患者さんの意に沿った形でまとめて治療はしていきたいですが、医学的知見から、どうしても経過を見せてもらった上で処置をする方がいい場合もあるので、
まずはご相談ください。
Q.感染症対策はしていますか?
A.歯を削る機械、口腔内をみる鏡など、ディスポータブルにできるものはなるべくしております。
どうしてもできないものは、高圧蒸気滅菌にて確実に滅菌を行なっておりますのでご安心ください。
Q.初診の金額はいくらぐらいですか?
A.保険診療の範囲になり処置内容によって変わりますが3割負担でおよそ3,000円から4,000円ぐらいになります。もしそれに応急処置を行うとかになるともう少し費用が掛かる場合があります。
Q.初診から治療は可能でしょうか?
A.可能です。処置内容を説明したうえでご納得いただけるようであれば出来うる処置は行います。
Q.予約なしでも診てもらえますか?
A.診療時間内にご来院頂けた場合は診察することは可能ですが予約の患者さんが優先になってしまうので少しお待たせする形になってしまいますのでご容赦ください。
Q.保険証がなくても診察してもらえますか?
A.自費になりますが可能です。もし保険証を当月中に持ってきてもらえるようであれば保険診療に切り替えられるので差額を返金する形になります。

RECRUIT

採用情報

マンツーマン指導で確かな技術の習得が出来る。

患者様満足度調査にご協力下さい。

少しでも患者様にとってより良い歯科医療を提供するため、 第三者機関に依頼して患者様満足度調査を行っています。
率直なご意見をいただき、改善すべき点は真摯に受け止めていきたいと思っております。
当院には患者様の個人情報は一切伝えられませんので、是非、暖かいお言葉、おしかりのお言葉、たくさんお寄せ下さい。

CLINIC INFORMATION

恵比寿駅東口医院
住所 東京都渋谷区恵比寿1丁目11−2
旭日ビル 3階
TEL 03-6455-7920
営業時間 10:00am ~ 7:00pm
休診 年末年始
12/29〜1/3のみ
目黒駅医院
住所 東京都品川区上大崎3−1−1 
アトレ目黒2・2F
TEL 03-6417-0506
営業時間 10:00am ~ 7:00pm
休診 年末年始
12/29〜1/3のみ
川崎駅小川町医院
住所 神奈川県川崎市川崎区小川町2-7
アイヴィ・タワー7階
TEL 044-742-8333
営業時間 10:00am ~ 7:00pm
休診 年末年始
12/29〜1/3のみ
AIARE DENTAL CLINIC
AIARE DENTAL CLINIC
AIARE DENTAL CLINIC