コラム
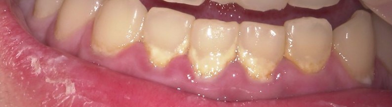
歯石とは歯石(しせき) プラークが石灰化して硬くなったもの。 歯科医で定期的に除去することが必要。 不十分な歯磨きのため、プラークが長期間、歯の表面についているとき、唾液に含まれるカルシウムやリン酸がプラークに沈着して(石灰化)、石のように硬くなったものが歯石です。

写真のように表側にこびりついているのが歯石になります。これをとっていく処置のことをスケーリングといいます。
スケーリングとは歯に付着しているプラークと歯石を専用の器具で除去することです。
ただしこれだけで終わりというわけではなく歯と歯茎の隙間の「歯周ポケット」という部分の奥にまた違う種類の歯石がついていることが多いので歯茎の出血が収まったらそこに関しては奥のほうの歯石を除去していくことが必要になります。
もし歯石が気になったり口腔内の状況を知りたい方はぜひあいあーる歯科に一度ご相談ください
採用情報
マンツーマン指導で確かな技術の習得が出来る。
CLINIC INFORMATION
| 住所 | 東京都渋谷区恵比寿1丁目11−2 旭日ビル 3階 |
| TEL | 03-6455-7920 |
| 営業時間 | 10:00am ~ 7:00pm |
| 休診 | 年末年始 12/29〜1/3のみ |