クリニック紹介 初めての方へ コラム一覧 お知らせ一覧 採用について 会社概要

COLUMN

コラム一覧

COLUMN

1回で終わる虫歯の治療

みなさんこんにちは! 歯医者さんにいったときに簡単な虫歯の治療しますねと言われたり、一回で終わる虫歯の治療しますねって言われたことありますか? 今回紹介する動画はまさにそれでどんなことされているのか?あまりわかないと思う […]

歯のクリーニング

歯のクリーニングを受けたことはありますか?歯のクリーニングとは、歯垢や歯石を取り除くことです。虫歯や歯周病の原因となる歯垢や歯石を除去し、口臭や虫歯、歯周病のリスクを低減できます。 しかし、実際にどのような内容でなぜ必要 […]

歯の破折の治療

歯の破折って聞いたことありますか? 骨が折れることを骨折といいますが歯が折れる、割れることももちろんあるんです。 今回の写真は他院で歯が痛くて治療したけど違和感や噛んで痛いのが治らないということで来院されました。 口腔内 […]

臨時休診のお知らせ

日頃よりあいあーる歯科をご利用いただきありがとうございます。当院では館内設備点検及び社内研修のため、下記日程で臨時休診とさせていただきます。 日にち:2024年2月20日(火)・目黒院---終日休診・恵比寿院--14時か […]

虫歯予防に子供のころからフッ素塗布

虫歯予防に子供のころからフッ素塗布したほうがいいよって聞いたことありませんか? フッ素には3つの大きな役割があります。 ①虫歯になりかけた初期の歯を元に戻す作用がある食事をすると酸によって歯に含まれるカルシウムやリンなど […]

歯牙移植のコツ

今回は歯牙移植についてそのコツをご説明したいと思います。 欠損歯牙補綴手段として最近はインプラントが発達しておりますが、歯牙移植術はインプラントと違って歯根膜まで再生できるため、より生理的状態に近い形で咬合を回復できます […]

長年放置した虫歯

虫歯って一言で言われても皆さんイメージつかないと思いますがどうでしょう? 今日長年放置してしまった虫歯に対してできるだけ歯を残そうとまずはカリエスを全部取り除いている動画です。 長年放置しているのもあるのでどんどん柔らか […]

写真を用いたセラミック治療の解説

こんにちは今日はセラミック治療ってどんなものか写真を使いながら説明していこうかなと思っています。 まずこの写真みてもらってもいいですか? 左上7番目と6番目の間にCRというプラスチックの樹脂がうめこまれています。歯の形を […]

歯牙移植について

【歯牙移植ってご存じですか?】 機能していない親知らずなどの歯を歯がないところに移植して機能させる方法です。移植の成功率は約90~70%と言われています。 移植では顎の骨にドナーとなる歯を入れられるだけの穴を空けますが、 […]

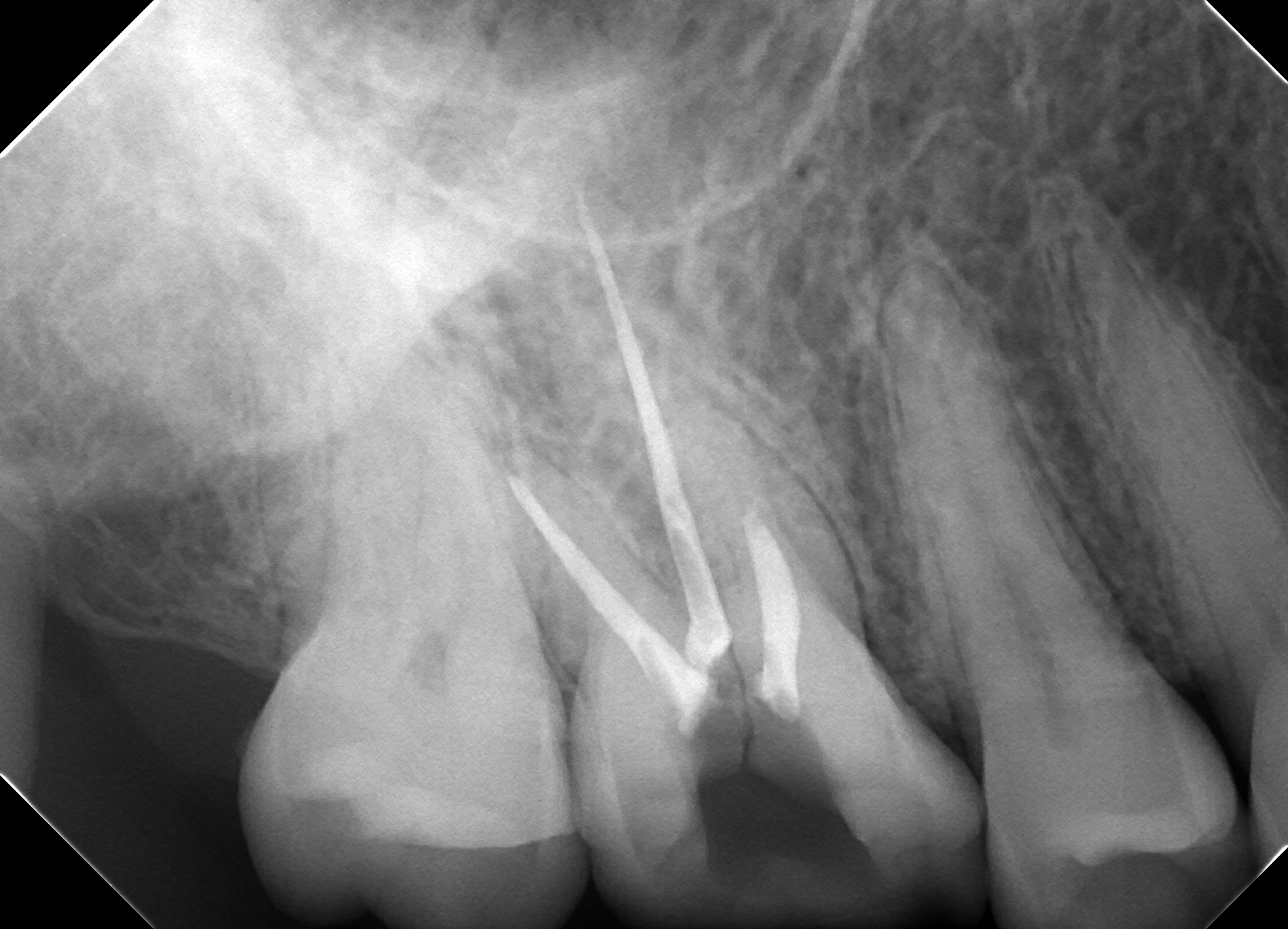
歯の根っこの枝分かれ

側枝って単語皆さんしってますか? 歯の神経の治療において厄介な存在で歯科医師の頭を悩ませる歯科用語の一つなんです。 このレントゲンにおいて根っこの先にお薬を詰めているんですが先が枝分かれになっているのわかりますか? これ […]

faq

よくあるご質問

Q.親知らずの抜歯は可能ですか?
A.可能です。
3Dで画像が見えるCTも完備しているので、大学病院レベルの抜歯も可能です。
Q.親知らずは即日抜歯できますか?
A.可能です。
ほぼ当日に抜歯することは可能ですが、腫れや痛みがある場合、抜歯時や抜歯後の痛みが強く出る可能性があるので、
その場合、当日は投薬のみ。
投薬後の痛みや腫れをおさめてから抜歯していく場合もあります。

また、かなり難易度が高いと判断した抜歯についてはしっかりお時間を取らせてもらうので、後日になる可能性があります。

まずは一度ご予約をお取りください。
Q.電子マネーは使えますか?
A.カード、デンタルローン、現金のみ取り扱っております。
Q.なるべくまとめて治療することは可能ですか?
A.可能です。
なるべく患者さんの意に沿った形でまとめて治療はしていきたいですが、医学的知見から、どうしても経過を見せてもらった上で処置をする方がいい場合もあるので、
まずはご相談ください。
Q.感染症対策はしていますか?
A.歯を削る機械、口腔内をみる鏡など、ディスポータブルにできるものはなるべくしております。
どうしてもできないものは、高圧蒸気滅菌にて確実に滅菌を行なっておりますのでご安心ください。
Q.初診の金額はいくらぐらいですか?
A.保険診療の範囲になり処置内容によって変わりますが3割負担でおよそ3,000円から4,000円ぐらいになります。もしそれに応急処置を行うとかになるともう少し費用が掛かる場合があります。
Q.初診から治療は可能でしょうか?
A.可能です。処置内容を説明したうえでご納得いただけるようであれば出来うる処置は行います。
Q.予約なしでも診てもらえますか?
A.診療時間内にご来院頂けた場合は診察することは可能ですが予約の患者さんが優先になってしまうので少しお待たせする形になってしまいますのでご容赦ください。
Q.保険証がなくても診察してもらえますか?
A.自費になりますが可能です。もし保険証を当月中に持ってきてもらえるようであれば保険診療に切り替えられるので差額を返金する形になります。

RECRUIT

採用情報

マンツーマン指導で確かな技術の習得が出来る。

患者様満足度調査にご協力下さい。

少しでも患者様にとってより良い歯科医療を提供するため、 第三者機関に依頼して患者様満足度調査を行っています。
率直なご意見をいただき、改善すべき点は真摯に受け止めていきたいと思っております。
当院には患者様の個人情報は一切伝えられませんので、是非、暖かいお言葉、おしかりのお言葉、たくさんお寄せ下さい。

CLINIC INFORMATION

恵比寿駅東口医院
住所 東京都渋谷区恵比寿1丁目11−2
旭日ビル 3階
TEL 03-6455-7920
営業時間 10:00am ~ 7:00pm
休診 年末年始
12/29〜1/3のみ
目黒駅医院
住所 東京都品川区上大崎3−1−1 
アトレ目黒2・2F
TEL 03-6417-0506
営業時間 10:00am ~ 7:00pm
休診 年末年始
12/29〜1/3のみ
川崎駅小川町医院
住所 神奈川県川崎市川崎区小川町2-7
アイヴィ・タワー7階
TEL 044-742-8333
営業時間 10:00am ~ 7:00pm
休診 年末年始
12/29〜1/3のみ
AIARE DENTAL CLINIC
AIARE DENTAL CLINIC
AIARE DENTAL CLINIC