クリニック紹介 初めての方へ コラム一覧 お知らせ一覧 採用について 会社概要

COLUMN

コラム一覧

COLUMN

CAD/CAM冠ってどういうもの?

保険適用の被せ物といえば銀歯を思い浮かべる方が多いかもしれませんが、近年ではCAD/CAM冠(キャドキャムカン)という被せ物が保険で使用できるようになっています。 CAD/CAM冠とは、コンピューターで歯を設計し、設計デ […]

根っこの治療のむずかしさについて

歯の根っこの治療はした人はいますか?歯の根の治療はなかなか難しいといわれています。その理由をお話していきます。 ①細菌の感染のコントロールが難しい 歯の根っこの治療は細菌をいかに減らしてコントロールするか?が大事になって […]

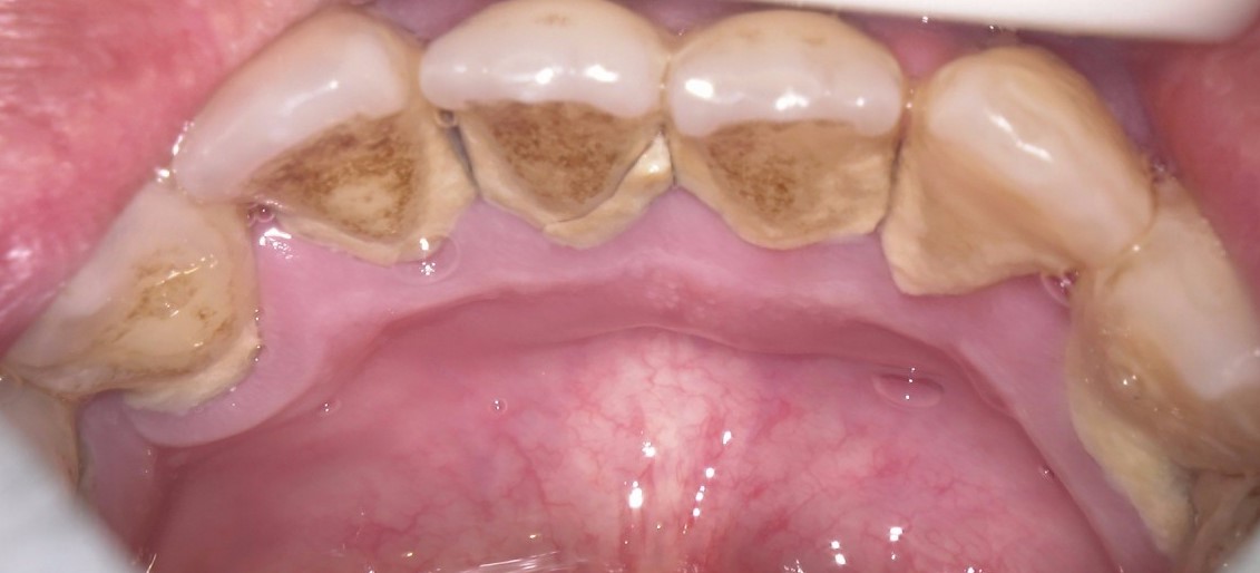
歯についた着色ってどうやっておとすの?

歯についた着色気になりますよね?俗にいうヤニとかは歯科医院の専門的な器具でとることができます。 それは何を使ってとっていくかというとエアフローというものです。 エアフローは、高速の空気と水の噴射によって、歯の表面からプラ […]

今回は口内炎についてお話します。

口内炎とは 口腔内や口唇、舌の粘膜に炎症が生じ、水疱(すいほう)やびらん(ただれ)、潰瘍(かいよう)、白苔(はくたい)などの粘膜病変を生じるものです 【原因】 ストレスや栄養不足などによる免疫力低下や、口の中を噛んでしま […]

スケーリングって歯医者さんでよく聞く言葉だと思いますがどんなことしてるか知ってますか?

スケーリングとは歯に付着しているプラークと歯石を専用の器具で除去することのことをいいます。歯についているプラーク(歯垢)と歯石をとることをスケーリング(歯石除去)といい 好発部位は下あごの前歯の裏と上奥歯の頬側につきやす […]

虫歯治療ならあいあーる歯科

歯ブラシと歯磨き粉大事なのはどっち? これは大事なのは絶対に歯ブラシです!歯磨き粉を使用するのももちろん大事ですがそれは効果を助けるものであり歯磨き粉単体ではなにも意味がないのです イメージとしては【お風呂掃除】を思い浮 […]

小児とフッ素

お子さんをお持ちの方は、おそらく歯医者さんでお子さんへのフッ素塗布をすすめられた経験があるのではないでしょうか。 フッ素は虫歯予防に効果的と言われても、「フッ素が体に害になる」、「フッ素は危険だ」、というような話もあった […]

歯科と全身疾患の関係

一見関係ないように見える歯科と全身疾患についてお話します。 口と全身って関係ないように見えて実は密接に関係しているんです。 例に挙げると歯周病によって口の中で出血が起こると、そこから歯周病原菌が血流に入り込み、全身の病気 […]

矯正期間中は歯科医院でのクリーニングはこまめにしてあげてください。

矯正期間中は歯科医院でのクリーニングはこまめにしてあげてくだい。 矯正をしていると汚れがついてしまって虫歯になることが多いです。 とくにマルチブラケットシステムと呼ばれる矯正方法においてはワイヤーを使用していることもあり […]

親知らずの抜歯が怖い!という方へ

以下の二つの完全に埋まってる親知らず簡単に抜けます。 麻酔や抜歯の痛みが怖い長時間口を開けていないといけないのがつらい抜歯後の腫れが心配値段はいくらくらいなのか いろいろ聞きたいこと不安があると思いますが安心してください […]

faq

よくあるご質問

Q.親知らずの抜歯は可能ですか?
A.可能です。
3Dで画像が見えるCTも完備しているので、大学病院レベルの抜歯も可能です。
Q.親知らずは即日抜歯できますか?
A.可能です。
ほぼ当日に抜歯することは可能ですが、腫れや痛みがある場合、抜歯時や抜歯後の痛みが強く出る可能性があるので、
その場合、当日は投薬のみ。
投薬後の痛みや腫れをおさめてから抜歯していく場合もあります。

また、かなり難易度が高いと判断した抜歯についてはしっかりお時間を取らせてもらうので、後日になる可能性があります。

まずは一度ご予約をお取りください。
Q.電子マネーは使えますか?
A.カード、デンタルローン、現金のみ取り扱っております。
Q.なるべくまとめて治療することは可能ですか?
A.可能です。
なるべく患者さんの意に沿った形でまとめて治療はしていきたいですが、医学的知見から、どうしても経過を見せてもらった上で処置をする方がいい場合もあるので、
まずはご相談ください。
Q.感染症対策はしていますか?
A.歯を削る機械、口腔内をみる鏡など、ディスポータブルにできるものはなるべくしております。
どうしてもできないものは、高圧蒸気滅菌にて確実に滅菌を行なっておりますのでご安心ください。
Q.初診の金額はいくらぐらいですか?
A.保険診療の範囲になり処置内容によって変わりますが3割負担でおよそ3,000円から4,000円ぐらいになります。もしそれに応急処置を行うとかになるともう少し費用が掛かる場合があります。
Q.初診から治療は可能でしょうか?
A.可能です。処置内容を説明したうえでご納得いただけるようであれば出来うる処置は行います。
Q.予約なしでも診てもらえますか?
A.診療時間内にご来院頂けた場合は診察することは可能ですが予約の患者さんが優先になってしまうので少しお待たせする形になってしまいますのでご容赦ください。
Q.保険証がなくても診察してもらえますか?
A.自費になりますが可能です。もし保険証を当月中に持ってきてもらえるようであれば保険診療に切り替えられるので差額を返金する形になります。

RECRUIT

採用情報

マンツーマン指導で確かな技術の習得が出来る。

患者様満足度調査にご協力下さい。

少しでも患者様にとってより良い歯科医療を提供するため、 第三者機関に依頼して患者様満足度調査を行っています。
率直なご意見をいただき、改善すべき点は真摯に受け止めていきたいと思っております。
当院には患者様の個人情報は一切伝えられませんので、是非、暖かいお言葉、おしかりのお言葉、たくさんお寄せ下さい。

CLINIC INFORMATION

恵比寿駅東口医院
住所 東京都渋谷区恵比寿1丁目11−2
旭日ビル 3階
TEL 03-6455-7920
営業時間 10:00am ~ 7:00pm
休診 年末年始
12/29〜1/3のみ
目黒駅医院
住所 東京都品川区上大崎3−1−1 
アトレ目黒2・2F
TEL 03-6417-0506
営業時間 10:00am ~ 7:00pm
休診 年末年始
12/29〜1/3のみ
川崎駅小川町医院
住所 神奈川県川崎市川崎区小川町2-7
アイヴィ・タワー7階
TEL 044-742-8333
営業時間 10:00am ~ 7:00pm
休診 年末年始
12/29〜1/3のみ
AIARE DENTAL CLINIC
AIARE DENTAL CLINIC
AIARE DENTAL CLINIC