コラム
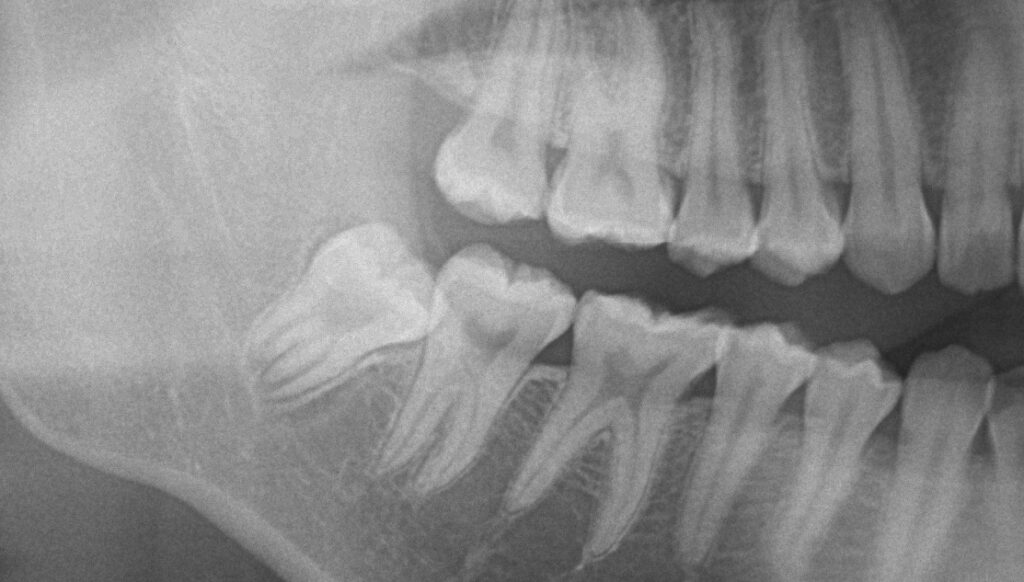
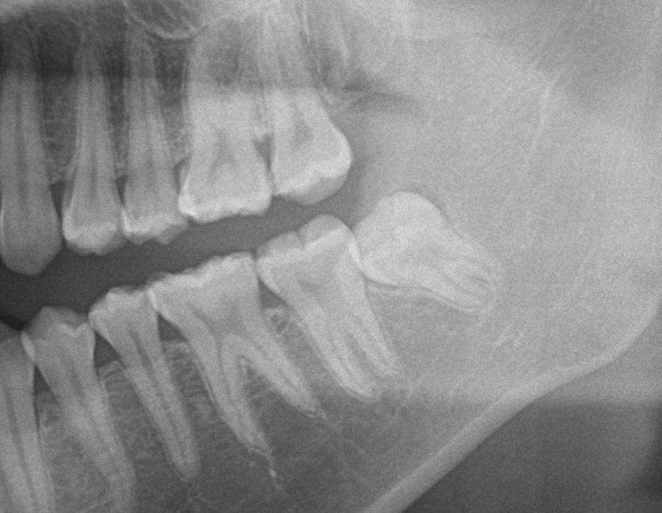
以下の二つの完全に埋まってる親知らず簡単に抜けます。


麻酔や抜歯の痛みが怖い
長時間口を開けていないといけないのがつらい
抜歯後の腫れが心配
値段はいくらくらいなのか
いろいろ聞きたいこと不安があると思いますが安心してください。
当院では、『痛くない』・『怖くない』・『腫れない』
親知らずの処置を目指しています。
「他院で親知らずの抜歯を勧められた、大学病院をすすめられた、そんな中色々調べてみると怖くなってしまった」という患者さまがよく来院されています。当院では、抜歯が怖い・不安という患者さまには、丁寧に時間をかけてお話を伺い、ご納得いただくまで十分に説明をすることから始めるのでご安心ください。
親知らずの抜歯をお考えの方はぜひ一度ご相談ください。
採用情報
マンツーマン指導で確かな技術の習得が出来る。
CLINIC INFORMATION
| 住所 | 東京都渋谷区恵比寿1丁目11−2 旭日ビル 3階 |
| TEL | 03-6455-7920 |
| 営業時間 | 10:00am ~ 7:00pm |
| 休診 | 年末年始 12/29〜1/3のみ |