コラム
今回は根っこの治療の第一段階の土台の除去をしていこうと思います

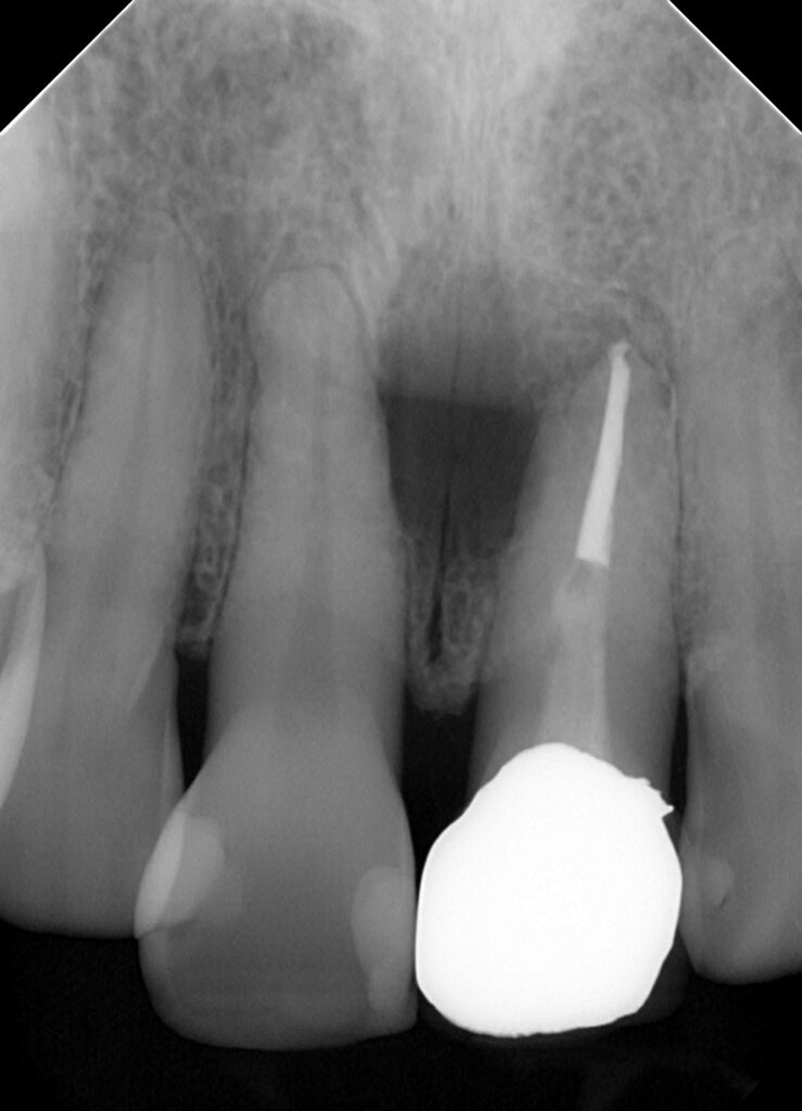
5年前に根っこの治療をしてそのあとから腫れだしてしまって放置していたらだんだん膿が出てくるようになってしまった患者さんです
前の歯医者さんで口腔外科に行って手術するしかないといわれたそうですが大学病院ではやるなら抜歯になるといわれ当法人に来院されました。
患者さんとお話して通常の根っこの治療では治らないと思うこと説明して【歯根端切除術】というやり方で処置していくことになりました。
もちろんその処置をしても完治は難しいかもしれないことも説明したうえで何年かだけでも症状出ずに使用できるからそれでいいとのことなので思い切って手術していくことにしました。
まずはその前処置として土台の除去と中にあるお薬をマイクロスープを使用して除去していく様子を動画にとりました。
やはり肉眼では難しいであろう処置も拡大視野ではきちんと確認できるのと説明することもわかりやすいのでそこがいいところだと思います。
もし根っこの治療でお悩みがあるようであればあいあーる歯科に一度ご相談ください
採用情報
マンツーマン指導で確かな技術の習得が出来る。
CLINIC INFORMATION
| 住所 | 東京都渋谷区恵比寿1丁目11−2 旭日ビル 3階 |
| TEL | 03-6455-7920 |
| 営業時間 | 10:00am ~ 7:00pm |
| 休診 | 年末年始 12/29〜1/3のみ |